Referência em implantes e periodontia Curitiba - PR

Recupere seu Sorriso com Segurança e Confiança na Clínica Zago!

Implantes Dentários e Tratamentos Periodontais personalizados para transformar seu sorriso e sua autoestima com um atendimento humanizado.

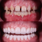
Pacientes Satisfeitos que Transformaram Suas Vidas

Por que escolher a Clínica Zago

Especialização e Experiência:

Nossas profissionais, Dra. Isabela Zago e Dra. Adriana Zago, possuem vasta formação e anos de prática em implantodontia e periodontia, garantindo tratamentos de alta qualidade.​

Atendimento Personalizado

Cada paciente recebe um plano de tratamento único, focado em suas necessidades específicas, promovendo resultados eficazes e satisfatórios.​

Tecnologia de Ponta:

Utilizamos equipamentos modernos e técnicas avançadas para proporcionar procedimentos mais precisos, confortáveis e seguros.​

Benefícios dos Implantes Dentários

- Estética Natural: Os implantes restauram a aparência do seu sorriso de forma harmoniosa e discreta.

- Função Mastigatória Recuperada: Permitem que você volte a comer seus alimentos favoritos sem restrições ou desconforto.​​

- Preservação Óssea: Ao substituir a raiz do dente perdido, os implantes estimulam o osso, prevenindo sua reabsorção e mantendo a estrutura facial.​​

- Durabilidade e Conforto: Com os cuidados adequados, os implantes podem durar uma vida inteira, oferecendo conforto semelhante ao dos dentes naturais.​​

Tratamento da Periodontite: Saúde Gengival em Primeiro Lugar

A periodontite é uma inflamação séria que pode levar à perda dentária se não tratada. Na Clínica Zago, oferecemos:

- Diagnóstico Preciso: Identificamos o estágio da doença e planejamos o tratamento mais adequado.

- Terapias Personalizadas: Desde limpezas profundas até procedimentos cirúrgicos, conforme a necessidade do paciente.​

- Prevenção e Manutenção: Orientamos sobre cuidados diários e realizamos acompanhamentos periódicos para evitar recorrências.​

- Durabilidade e Conforto: Com os cuidados adequados, os implantes podem durar uma vida inteira, oferecendo conforto semelhante ao dos dentes naturais.​​

Conheça Nossas Especialistas

Dra Isabela Zago

CRO: 31397

Dra Adriana Zago

CRO: 11166

Dra. Pamela Antunes 

AGENDE A SUA CONSULTA AGORA MESMO

Não adie mais o cuidado com sua saúde bucal. Entre em contato conosco pelo WhatsApp e marque uma consulta personalizada. Nossa equipe está pronta para atender você com toda a atenção e profissionalismo que merece.​ alinea.com.pt

A CLÍNICA ZAGO

Na Clínica Zago, acreditamos que um sorriso vai muito além da estética. Ele é saúde, autoestima e bem-estar.

Nossa estrutura foi planejada para oferecer conforto, acolhimento e tecnologia de ponta em cada detalhe — desde o momento em que você entra até o seu pós-atendimento.

Localizada em Curitiba, a Clínica Zago é referência em odontologia integrativa e estética facial, reunindo experiência clínica com um olhar humano e personalizado.

Perguntas Frequentes:

O tempo pode variar, mas geralmente, o processo completo leva alguns meses. Inclui a fase de cicatrização óssea (osseointegração) após a inserção do implante e a confecção da prótese. Consulte nosso especialista para uma avaliação personalizada.

O procedimento é realizado sob anestesia, minimizando a dor durante a cirurgia. Algum desconforto pós-operatório é normal, mas é gerenciável com medicação prescrita. A maioria dos pacientes relata apenas leve desconforto.

Após a cirurgia, é essencial seguir as orientações do dentista. Isso inclui cuidados com a higiene bucal, evitar alimentos duros, e comparecer a consultas de acompanhamento. Um bom cuidado pós-operatório é vital para o sucesso do implante.

Com os cuidados adequados, os implantes dentários podem durar muitos anos, até mesmo a vida toda. A manutenção regular, boa higiene bucal e visitas ao dentista contribuem para a longevidade dos implantes.

O custo varia dependendo do número de implantes, tipo de prótese e outros fatores. Agendar uma consulta permitirá uma estimativa mais precisa, levando em conta as necessidades específicas de cada paciente.

Sim, quando realizados por profissionais qualificados, os implantes dentários são uma opção segura e eficaz. A escolha de um dentista experiente e a adesão às instruções pós-operatórias são fundamentais para o sucesso e a segurança do procedimento.

Nossa localização

Rua Padre Anchieta, nº 2050, Bigorrilho, Curitiba – PR.

AGENDE A SUA CONSULTA

Todos os direitos reservados®