Facetas de Porcelana e Resina com Naturalidade, Estética e Alta Precisão — Atendimento Exclusivo


















Aplicação rápida, custo acessível e ótimo resultado estético. Ideal para quem busca transformação imediata com naturalidade.
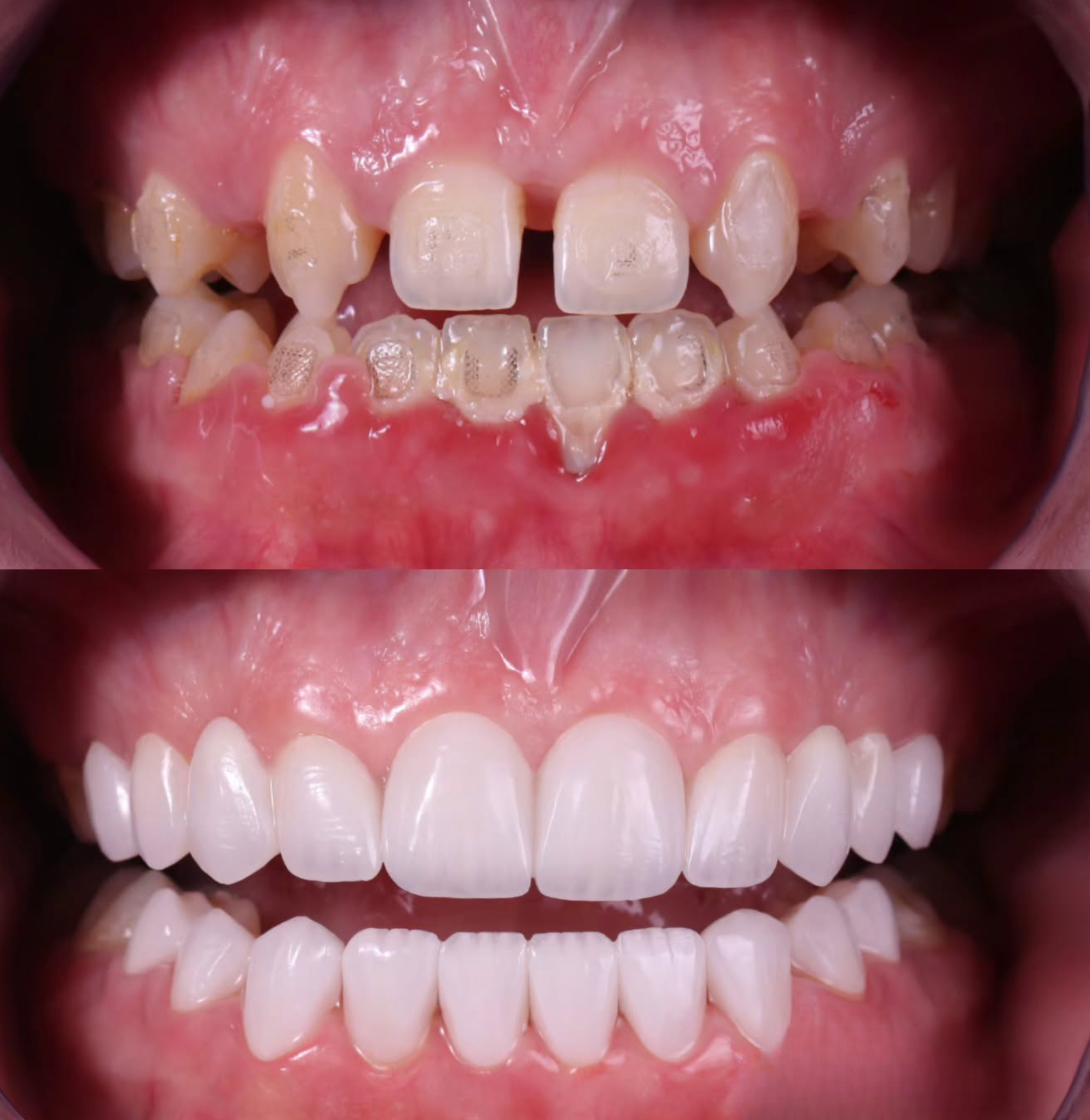
Brilho natural, longa duração e estética impecável. As facetas de porcelana mantêm a cor ao longo dos anos não mancham, não pigmentam e oferecem um sorriso sempre harmonioso.

CRO/PR 111.66

CRO/PR 33.119

CRO/PR 33.302


















A avaliação é paga e realizada com um especialista em estética. Ela é essencial para traçar um plano exclusivo e seguro.
A de porcelana tem maior durabilidade e resistência. A resina é mais acessível e pode ser aplicada com mais agilidade. A indicação ideal é feita após avaliação.
Sim. Nosso trabalho é voltado à discrição estética: dentes brancos, alinhados e compatíveis com seu rosto.
Rua Padre Anchieta, nº 2050, Bigorrilho, Curitiba – PR.